ホーム 応用 スポーツとヘルスケア

何百万もの最新のAndroidアプリ、ゲーム、音楽、映画、テレビ、本、雑誌などをお楽しみください。いつでも、どこでも、デバイス全体。

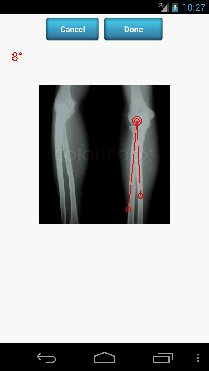
このアプリケーションでは、携帯電話でのX線撮影[および臨床写真]の角度の測定を許可します

顕著な機能:

- 大きな関節、小さなジョイント、および脊椎のMeasure Anglesための高度に正確なデジタル角度測定デバイス

- 読み取りは、各患者の個別のプロファイルで記録することができ、さまざまなフォローアップで動きの範囲の順次改善をチェックするために適切な記録を保持できます。

- 骨と関節の角の変形と角度のアイデアを得るための優れたツール

詳細:

「 Measure Angles 」は、角度測定を記録するだけでなく、すべての測定値の記録を保持するのにも役立ち、さまざまな訪問で患者の測定値を比較できます。特に、定期的に患者をフォローアップしている外科医やセラピストにとって。

測定ツールは使いやすく、非常に正確です。 X線写真だけでなく、臨床写真にも使用できます。

記録は、人口統計や診断などの治療スケジュールを含む患者の特定のデータをキャプチャおよび記録するのに役立つ単純な患者記録シートに基づいています。これは、患者の改善に注意深い目を向けるのに役立ち、角度測定値を連続した時間間隔で比較します。患者のX線写真の改善を簡単に確認できます。

これは、アプリをさらに購入するための提供を伴う25の読み取りのみを無料で使用できるアプリです。アプリに関連する問題については、[email protected]にご連絡ください

最新バージョン1.2の新しいもの

2015年8月1日に最終更新 - マイナーバグ修正

続きを読む

プレビュー

ユーザーが見たもの

すべて見る

おすすめ

すべて見る

類似のゲームをもっと見る

すべて見る

その他のレベル ゲーム

すべて見る